Nuestros expertos en salud bucal atenderán cualquier tratamiento
Un correcto diagnóstico es esencial para realizar el tratamiento adecuado a cada necesidad.
La primera visita es muy importante; aquí determinaremos el plan de tratamiento y te explicaremos todo lo que necesitas saber sobre él.
Nuestro equipo de odontólogos especialistas atenderá cualquier duda que te surja.
Estamos aquí para ayudar a mejorar tu salud bucodental.
Tratamientos
Implantología bucal
La implantología es la especialidad odontológica que se ocupa de la sustitución de la raíz del diente perdido.
La sustitución se hace mediante una pequeña intervención quirúrgica para colocar una pieza de titanio dentro del hueso maxilar.
El implante tiene una rosca en su interior donde posteriormente se enroscará el pilar que soportará la corona protética.
La demora en la reposición de dientes comporta alteraciones funcionales y anatómicas del aparato buco dental, tales como: la reabsorción del hueso maxilar, migraciones y desplazamientos de dientes remanentes o alteraciones fonéticas, estéticas, masticatorias, etc...
Después de la valoración del implantólogo y un diagnóstico muy esmerado por parte del equipo profesional se plantean diferentes soluciones. Dependiendo del problema planteado que puede ser: pérdida unitaria, pérdida múltiple o desdentado completo...se realizará la técnica precisa con el fin de mejorar la calidad de vida del paciente.
La implantología es una de las áreas médicas que más ha evolucionado en los últimos años. Eso hace que la fiabilidad y la comodidad del paciente aumente.
Endodoncia
La endodoncia es el tratamiento que consiste en extraer el nervio (pulpa) del interior de los conductos de la raíz, con el fin de conservar el diente y mantener su función habitual en la masticación.
Las principales causas que pueden originar el tratamiento del nervio son: tener caries, el traumatismo dentario, desgastes importantes o infecciones periodontales.
La inflamación del nervio (pulpitis) causa mucho dolor. La infección bacteriana es la principal complicación a tener en cuenta.
El éxito del tratamiento está en torno a un 96%. Este porcentaje es menor en dientes infectados o en los que ha fracasado una endodoncia previa. Si eso pasa será necesario repetir la endodoncia, complementarlo con un tratamiento quirúrgico o incluso la extracción del diente afectado.
Hace falta tener en cuenta que al desvitalizar un diente, ésta se deshidrata y se vuelve más frágil. Las fracturas dentarias se producen con frecuencia, es por eso que, en la mayoría de los casos, se recomienda la colocación de una corona o incrustación sobre el diente endodonciado.
Ortodoncia
La ortodoncia es la especialidad odontológica que tiene como objetivo estudiar y corregir las malposiciones dentarias, así como las alteraciones esqueléticas de los maxilares; para resolver también problemas de prótesis o de periodoncia.
Hay diferentes opciones de ortodoncia:
. Ortodoncia con brackets estéticos o metálicos
. Ortodoncia lingual
. Invisaling®
El Invisaling es la técnica de ortodoncia en la que se emplean alineadores transparentes. La tecnología avanzada de este sistema se basa en imágenes computarizadas en 3D dónde se visualiza la imagen de los dientes desde el inicio del tratamiento hasta el resultado final. Los alienadores son totalmente personalizados.
La ortodoncia se puede realizar a cualquier edad.
Es importante realizar revisiones periódicas a los niños, con el odontopediatra, para detectar con antelación posibles problemas y que se puedan resolver lo antes posible.
Cirugía bucal
Engloba las técnicas quirúrgicas para dar soluciones a las patologías orales tales como: dientes incluidos, frenillos bucales, cirugía periapical (apicectomías), cirugía de partes blandas y quistes maxilares, cirugía preprotesica, fenestraciones para ortodoncia, etc …
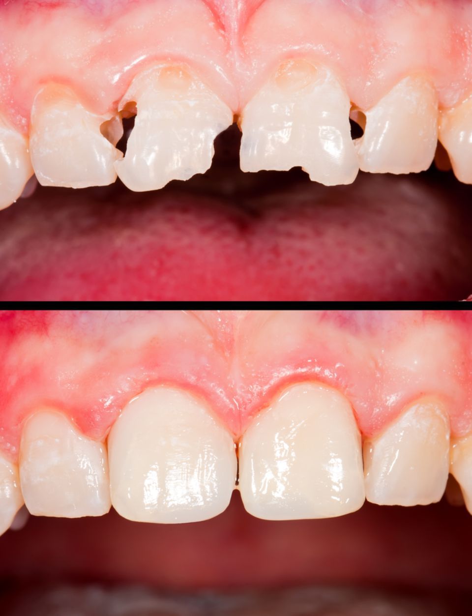
Odontología restauradora/conservadora
Tal y como su nombre indica trata de conservar mediante la reconstrucción de los dientes que se han cariado o se han fracturado, que han sufrido un traumatismo o están erosionados; para preservar su función como diente.
Rehabilitación protésica
La rehabilitación oral es la parte de la odontología que se preocupa de devolver la estética y armonía oral mediante prótesis dentales, siempre buscando una oclusión y función correcta. Combina de forma integral las áreas de prótesis fija, prótesis removible, operatoria, oclusión e implante dental.
Al realizar el plan de tratamiento, adecuado al paciente, se intentará recuperar su salud bucal a través de las técnicas más modernas de rehabilitación; estableciendo una estrecha relación con las demás disciplinas de la odontología, como periodoncia, endodoncia y ortodoncia. Para lograr el mejor resultado.
Mediante las técnicas actuales de odontología se consigue hacer dichas rehabilitaciones mediante prótesis fijas sobre dientes o implantes dentales en más del 95% de los pacientes, con lo que se evita la utilización de prótesis removibles que siempre son incómodas y en muchos casos imposibles de soportar.
Una de las técnicas más utilizada en la actualidad gracias a los avances tecnológicos, es la rehabilitación oral digital o flujo digital.
Periodoncia y cirugía periodontal
La Periodoncia es la especialidad odontológica dedicada al estudio del periodonto o la estructura de soporte de los dientes. Engloba la prevención, el diagnóstico y el tratamiento de las enfermedades que afectan a estos tejidos que rodean y sujetan el diente al hueso (encía, cemento radicular, ligamento periodontal y hueso alveolar).
Dentro de las enfermedades periodontales más conocidas encontramos:
La gingivitis que cursa con inflamación y enrojecimiento de las encías y posible sangrado al cepillado.
La periodontitis clínicamente presenta los signos de la gingivitis pero también se acompaña de la pérdida de los tejidos que soportan el diente: el ligamento periodontal y el hueso alveolar, causando la movilidad del diente y futura pérdida de éste si no se trata.
Las causas de la periodontitis son la combinación de la presencia de bacterias patógenas junto con los factores genéticos (resistencia de cada persona a las infecciones). Aparte, se le suman otros factores que pueden condicionar su evolución como: tabaquismo, hábitos higiénicos, ciertos medicamentos, la diabetes ...
La recesión gingival no se trata de una enfermedad propiamente dicha sino de un trastorno morfológico donde el retroceso de la encía marginal puede presentar problemas estéticos y molestias debido a la sensibilidad producida por la exposición de los cuellos dentales. Las causas más frecuentes son por un cepillado incorrecto, por una sobrecarga funcional o bien debido a una periodontitis crónica no tratada.
Nuestro objetivo principal es la prevención de la aparición de la periodontitis y en caso de diagnosticarse, tratarla para poder eliminar la inflamación y poder detener su progresión. Por ello, es importante que el paciente tenga un buen hábito de higiene bucal y asista a las revisiones y visitas periódicas del dentista.
A veces no podemos tratar la periodontitis solo con tratamiento conservador y hay que recurrir a técnicas quirúrgicas para poder conseguir mejores resultados, por ejemplo con la cirugía periodontal.
Existen otros tipos de intervenciones quirúrgicas a nivel de las encías y de la mucosa bucal tales como: las gingivectomías / gingivoplastias y los alargamientos de corona que sirven para salvar dientes comprometidos o bien para conseguir cambios estéticos en la sonrisa. Otro ejemplo sería la cirugía mucogingival utilizada para cubrir recesiones, ganar volumen de los tejidos blandos periodentales o bien conseguir una encía más fuerte y sana alrededor de dientes o implantes.
Estética dental
La apariencia de los dientes se puede mejorar. El equipo especialista evaluará cada caso para adoptar la técnica más adecuada: blanqueamiento dental, restauraciones con composite, carillas de cerámica, coronas de metal-cerámica, coronas de circonio, ortodoncia, cirugía estética periodontal ....
Odontopediatría
El objetivo de la odontopediatría es prevenir y tratar todos los problemas dentales, ya sea de los dientes temporales como de los dientes permanentes jóvenes.
Es muy importante ir al dentista a partir de los 2-3 años para ayudar al niño a coger buenos hábitos tanto en la higiene buco dental como en su alimentación, para evitar posibles problemas dentales.
El odontopediatra también se encargará de detectar hábitos que deberían ir eliminando como el de mantener todavía el chupete o el de succionar el dedo después de los dos años, los cuales pueden provocar la deformación del maxilar.
Rehabilitación con flujo digital
A través de las impresiones digitales en 3D realizamos rehabilitaciones protésicas mucho más perfectas y adaptadas desde el primer día, ya que la precisión del trabajo es mucho mayor, obteniendo resultados predecibles.
Se pueden realizar tanto en coronas sobre dientes naturales como sobre implantes, dando mayor comodidad y facilidad a los pacientes.
Del mismo modo ofrecemos cirugías implantológicas con flujo digital, utilizando férulas quirúrgicas personalizadas; permitiendo disminuir tiempos quirúrgicos y manteniendo la precisión en los tratamientos.
Odontología preventiva
Tiene como objetivo preservar anatómica y funcionalmente tanto los dientes como las encías.
Pensamos que la mejor manera de mantener una buena salud dental es justamente la prevención de enfermedades buco dentales.
ATM
La articulación temporomandibular es la que une la mandíbula con la cabeza.
Todos los procesos que aumentan la presión de la ATM, el bruxismo, apretar o rechinar los dientes o sobrecargas masticatorias, pueden ocasionar deformaciones del hueso, destrucción del disco o lesión de los ligamentos que forman parte de la ATM.
Radiodiagnóstico
El Centre Odontològic Piñera dispone de un equipo radiológico de última generación que permite hacer Ortopantomografias (radiografías de toda la boca), CBCT dental y escáner dental intraoral en 3D (3 dimensiones). La exposición radiológica es mínima.
Esta tecnología favorece la rapidez en la exploración, así como la precisión en el diagnóstico y el consiguiente tratamiento.
También disponemos de un equipo de RX para hacer radiografías intraorales.
Para cualquier duda sobre los tratamientos, contáctanos y te la resolveremos
























