Our oral health experts will attend any treatment
A correct diagnosis is essential to carry out the appropriate treatment for each need.
The first visit is very important; Here we will determine the treatment plan and explain everything you need to know about it.
Our team of specialist dentists will answer any questions that may arise.
We are here to help improve your oral health.
Treatments
Oral implantology
Implantology is the dental specialty that deals with the replacement of the root of the lost tooth.
The replacement is done through a small surgical procedure to place a piece of titanium inside the jawbone.
The implant has a thread inside where the abutment that will support the prosthetic crown will later be screwed on.
The delay in the replacement of teeth involves functional and anatomical alterations of the buccal dental apparatus, such as: the reabsorption of the maxillary bone, migrations and displacements of remaining teeth or phonetic, aesthetic, masticatory alterations, etc ...
After the evaluation of the implantologist and a very careful diagnosis by the professional team, different solutions are proposed. Depending on the problem posed, which may be: unit loss, multiple loss or complete edentulousness ... the precise technique will be performed in order to improve the quality of life of the patient.
Implantology is one of the medical areas that has evolved the most in recent years. This increases the reliability and comfort of the patient.
Endodontics
Endodontics is the treatment that consists of extracting the nerve (pulp) from inside the root canals, in order to preserve the tooth and maintain its normal chewing function.
The main causes that can originate the treatment of the nerve are: having cavities, dental trauma, significant wear or periodontal infections.
Inflammation of the nerve (pulpitis) causes a lot of pain. Bacterial infection is the main complication to be aware of.
Treatment success is around 96%. This percentage is lower in infected teeth or in those that have failed a previous root canal. If that happens, it will be necessary to repeat the endodontics, complement it with a surgical treatment or even the extraction of the affected tooth.
It must be taken into account that when a tooth is devitalized, it dehydrates and becomes more fragile. Dental fractures occur frequently, that is why, in most cases, it is recommended to place a crown or inlay on the endodontic tooth.
Orthodontics
Orthodontics is the dental specialty that aims to study and correct dental malpositions, as well as skeletal alterations of the jaws; to also solve prosthetic or periodontic problems.
There are different orthodontic options:
. Orthodontics with cosmetic or metal brackets
. Lingual orthodontics
. Invisaling®
Invisaling is the orthodontic technique in which transparent aligners are used. The advanced technology of this system is based on 3D computerized images where the image of the teeth is displayed from the beginning of the treatment to the final result. The alienators are fully custom.
Orthodontics can be done at any age.
It is important to carry out periodic check-ups on children, with the pediatric dentist, to detect possible problems in advance and that they can be resolved as soon as possible.
Oral surgery
It encompasses surgical techniques to provide solutions to oral pathologies such as: teeth included, buccal braces, periapical surgery (apicoectomies), soft tissue surgery and maxillary cysts, pre-prosthetic surgery, orthodontic fenestrations, etc ...
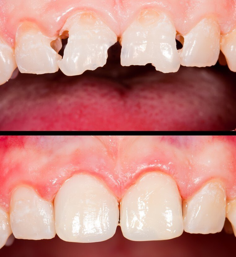
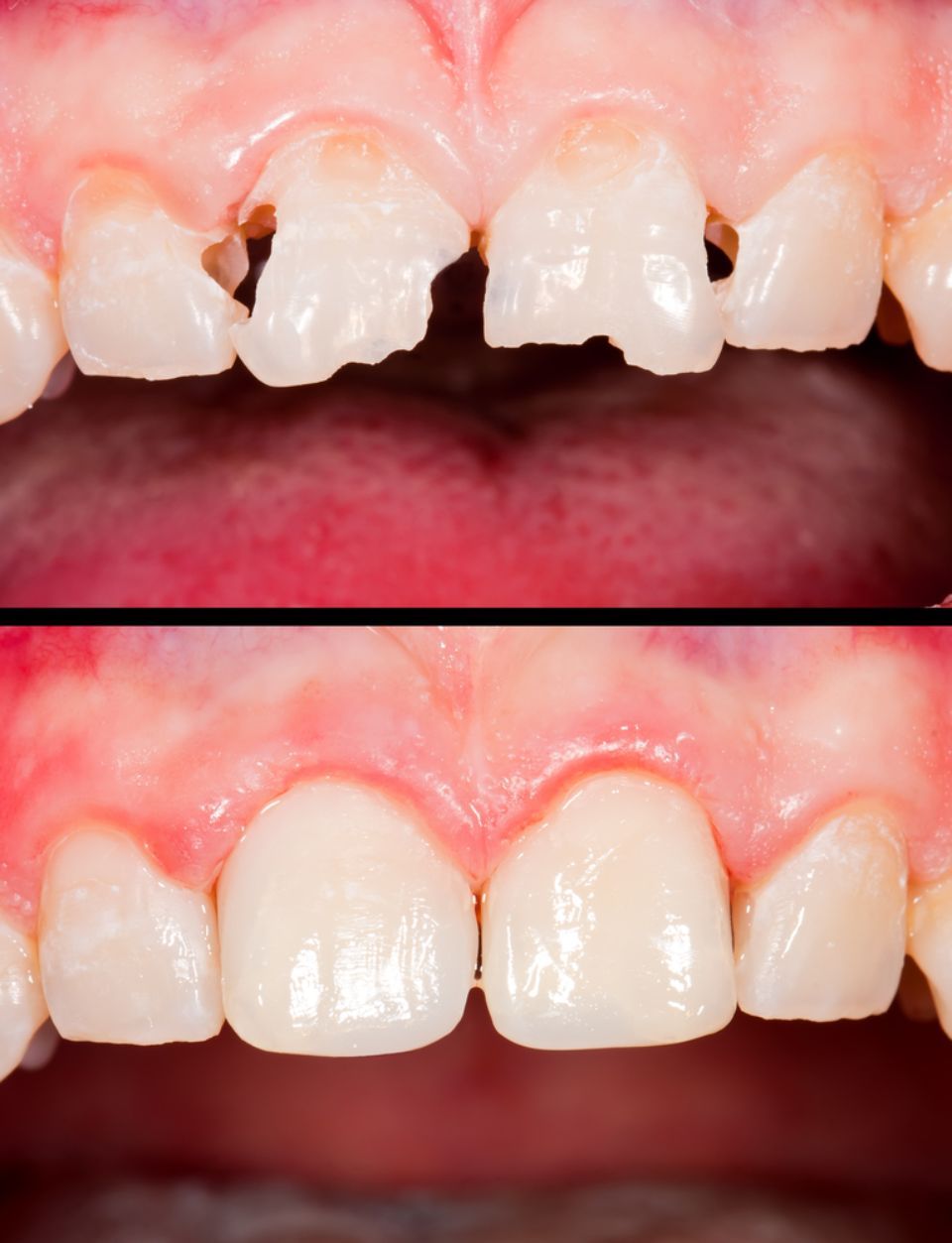
Restorative / Conservative Dentistry
As its name suggests, it tries to preserve by rebuilding teeth that have decayed or fractured, that have suffered trauma or are eroded; to preserve its function as a tooth.
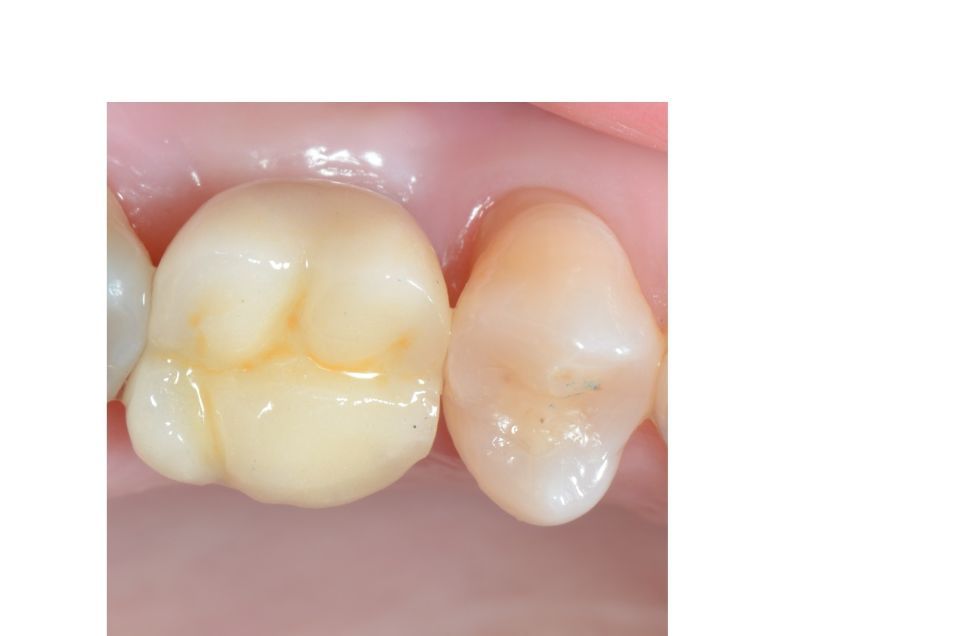
Prosthetic rehabilitation
Oral rehabilitation is the part of dentistry that is concerned with restoring oral aesthetics and harmony through dental prostheses, always looking for a correct occlusion and function. It integrally combines the areas of fixed prosthesis, removable prosthesis, operative, occlusion and dental implant.
When carrying out the treatment plan, appropriate to the patient, an attempt will be made to recover their oral health through the most modern rehabilitation techniques; establishing a close relationship with the other disciplines of dentistry, such as periodontics, endodontics and orthodontics. To achieve the best result.
By means of current dental techniques, it is possible to carry out these restorations by means of fixed prostheses on teeth or dental implants in more than 95% of patients, thus avoiding the use of removable prostheses that are always uncomfortable and in many cases impossible to bear.
One of the techniques most used today thanks to technological advances, is digital oral rehabilitation or digital flow.
Periodontics and periodontal surgery
Periodontics is the dental specialty dedicated to the study of the periodontium or the supporting structure of the teeth. It encompasses the prevention, diagnosis and treatment of diseases that affect these tissues that surround and attach the tooth to the bone (gingiva, root cement, periodontal ligament and alveolar bone).
Among the best known periodontal diseases we find:
Gingivitis that causes inflammation and redness of the gums and possible bleeding when brushing.
Clinically periodontitis presents the signs of gingivitis but is also accompanied by the loss of the tissues that support the tooth: the periodontal ligament and the alveolar bone, causing the mobility of the tooth and future loss of it if it is not treated.
The causes of periodontitis are the combination of the presence of pathogenic bacteria together with genetic factors (resistance of each person to infections). In addition, other factors are added that can condition its evolution such as: smoking, hygienic habits, certain medications, diabetes ...
Gingival recession is not a disease itself but rather a morphological disorder where the recession of the marginal gingiva can present aesthetic problems and discomfort due to the sensitivity produced by the exposure of the dental necks. The most frequent causes are due to incorrect brushing, functional overload or due to untreated chronic periodontitis.
Our main objective is the prevention of the appearance of periodontitis and if it is diagnosed, treat it in order to eliminate the inflammation and be able to stop its progression. For this reason, it is important that the patient has a good habit of oral hygiene and attends the regular check-ups and visits of the dentist.
Sometimes we cannot treat periodontitis only with conservative treatment and we must resort to surgical techniques to achieve better results, for example with periodontal surgery.
There are other types of surgical interventions at the level of the gums and oral mucosa such as: gingivectomies / gingivoplasties and crown lengthening that serve to save compromised teeth or to achieve aesthetic changes in the smile. Another example would be mucogingival surgery used to cover recessions, to gain volume of the soft tissues of the period of the tooth or to achieve a stronger and healthier gum around teeth or implants.
Dental Aesthetics
The appearance of the teeth can be improved. The specialist team will evaluate each case to adopt the most appropriate technique: tooth whitening, composite restorations, ceramic veneers, metal-ceramic crowns, zirconium crowns, orthodontics, periodontal cosmetic surgery ...
Pediatric dentistry
The goal of pediatric dentistry is to prevent and treat all dental problems, whether of temporary teeth or of young permanent teeth.
It is very important to go to the dentist from the age of 2-3 years to help the child to adopt good habits both in oral hygiene and in eating, to avoid possible dental problems.
The pediatric dentist will also be in charge of detecting habits that should be eliminated, such as still keeping the pacifier or sucking the finger after two years, which can cause deformation of the maxilla.
Rehabilitation with digital flow
Through 3D digital impressions we carry out much more perfect and adapted prosthetic restorations from the first day, since the precision of the work is much higher, obtaining predictable results.
They can be performed both on crowns on natural teeth and on implants, giving patients greater comfort and ease.
In the same way, we offer implant surgeries with digital flow, using personalized surgical splints; allowing to reduce surgical times and maintaining precision in treatments.
Preventive dentistry
It aims to anatomically and functionally preserve both teeth and gums.
We believe that the best way to maintain good dental health is precisely the prevention of oral diseases.
ATM
The temporomandibular joint is the one that joins the jaw with the head.
All processes that increase the pressure of the TMJ, bruxism, clenching or grinding the teeth or chewing overloads, can cause bone deformations, destruction of the disc or damage to the ligaments that are part of the TMJ.
Radiodiagnosis
The Center Odontològic Piñera has a state-of-the-art radiological equipment that allows to perform orthopantomography (x-rays of the whole mouth), dental CBCT and intraoral dental scanner in 3D (3 dimensions). Radiological exposure is minimal.
This technology favors the speed of the examination, as well as the precision in the diagnosis and the subsequent treatment.
We also have an X-ray equipment to take intraoral radiographs.
For any questions about the treatments, contact us and we will solve it for you

























